Funktionsdignostik & Therapie

Termin vereinbaren

Verspannungsfrei durchs Leben

Der Schultergürtel und Nacken sind die Haltemuskulatur für den Kopf. Dagegen wirken die Kaukräfte des Unterkiefers. Damit ist der Nacken und Schulterbereich auch ein Teil der Kaumuskulatur. Bruxismus (Pressen, Knirschen) und Fehlfunktionen des Kiefers wirken sich hier aus und können zu erheblichen Verspannungen und damit auch Kopfschmerzen führen, dies ist behandelbar.

Unterkieferprotrusionsschiene

Schnarch Therapie / Unterkiefer Protrusionsschienen (UKPS)

Entspannt und ausgeschlafen aufwachen.

  • Kein Ärger mit dem Lebenspartner oder getrennte Schlafzimmer
  • Schlafapnöe vorbeugen
  • Durch ausreichende Sauerstoffversorgung gesunder Schlaf
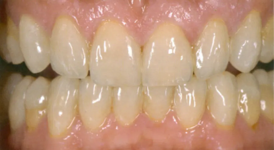
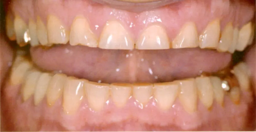
Abrasionsgebiss vor Behandlung Ergebnis nach der Behandlung

Bisshebungen

Oft verändert sich ab einem gewissen Alter das aussehen der Frontzähne durch eine Änderung der Funktion. Dies liegt daran das der Biss im laufe des Lebens bis zur Ausbildung das vollständigen bleibenden Gebisses um das 12. Lebensjahr hebt und ab diesem Zeitpunkt kontinuierlich absenkt. Verursacht durch die Nutzung und natürliche Abrasion. Dieser Prozess wird durch Attrition (Esstörungen), Bruxismus (Knirschen), Caries und Füllungen (insbesondere Amalgam), sowie Zahnverlust erheblich beschleunigt. Die Folgen sind: Verschiebungen oder Verkürzungen der Frontzähne oder die Ausbildung ausgeprägter Fehlstellungen und Lücken zwischen den Frontzähnen. Besteht der Wunsch dies zu korregieren steht der 'Biss' dem im Wege. In diesen Fällen muss der Biss möglichst auf das ursprüngliche Niveau angehoben werden diese Maßnahme ermöglicht dann die perfekte ästhetische Rekonstruktion im Frontzahnbereich.

Ihr Vorteil: Entspannungsfrei, effizienteres Kauen optimale Ästhetik

Klarsichtschiene

Knirscher und Funktionsschienen

Entspannung für Nacken und Schultergürtel

  • Bruxismus (Knirschen) verhindern
  • Zahnfehlstellungen korregieren
  • Kiefer Entlasten und auch Funktionsumstellungen einleiten